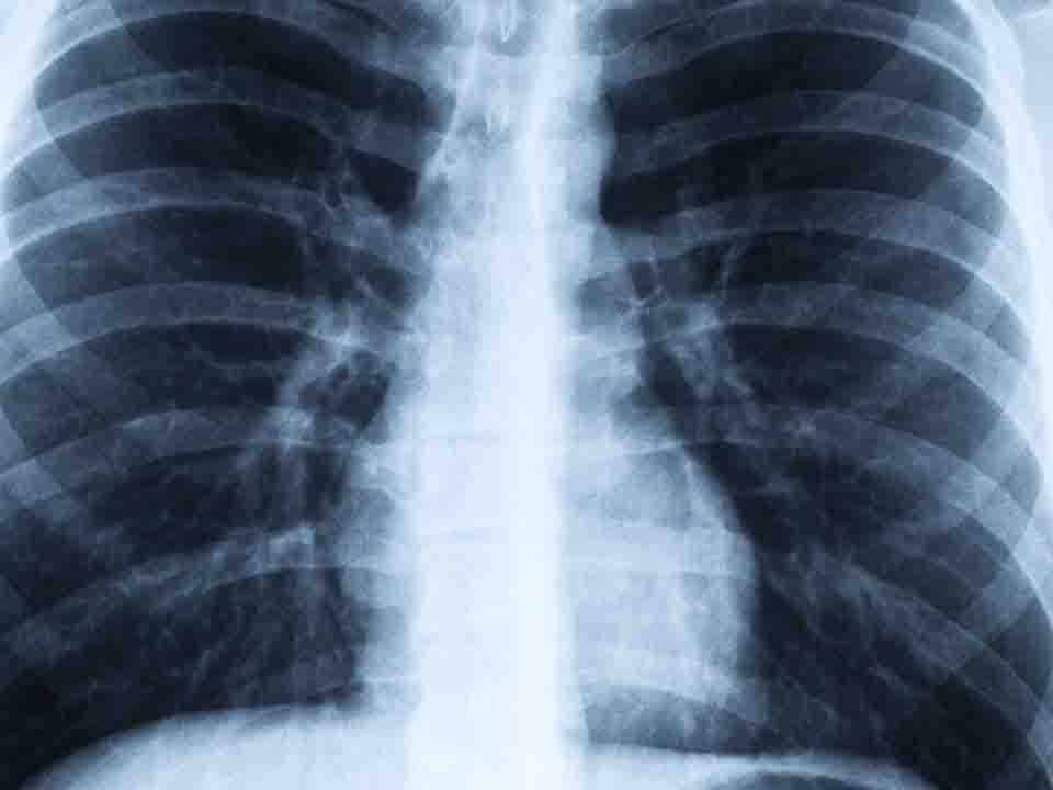
首页 > 生活百科 > 正文 引发毛细支气管炎和肺炎 RSV可导致从轻微感冒到重症肺炎的各种症状 感染特点 并可能累及下呼吸道 (引起毛细支气管炎的主要病因是) 生活百科 2024-12-08 11:51:39 浏览 次 生父 李婷婷 田某某 田某龙 虐待 女童 田田 李婷婷 文某桃 女友 无期 田某某 田某龙 田田 消息资讯 致死案 本文版权声明本文内容由互联网用户自发贡献,该文观点仅代表作者本人。本站仅提供信息存储空间服务,不拥有所有权,不承担相关法律责任。如发现本站有涉嫌抄袭侵权/违法违规的内容,请联系本站客服,一经查实,本站将立刻删除。 上一篇孩子早熟进入青春期年仅八岁父母面临的困惑 下一篇婴幼儿肺炎的高发病毒家长的必知须知婴幼儿
发表评论